红宝石里的微观世界
时间: 2013-11-14 11:47:25 文章来源: GTC您专业的珠宝技术顾问 作者:未知
红宝石,即红色的刚玉宝石,它包括了红色、橙红色、紫红色、褐红色的刚玉宝石。 红宝石可含有丰富的固态包体、气液两相包体及特征的生长结构。 一、天然红宝石的内部特征 (一)固态包体 1.针状或丝状包体(如图1~6) 红宝石中针状或丝状包体的数量和形态对
一、天然红宝石的内部特征
(一)固态包体
1. 针状或丝状包体(如图1~6)
红宝石中针状或丝状包体的数量和形态对于分辨其产地有重要的意义。
(1)缅甸红宝石中金红石含量丰富,针体细小,互为60°夹角定向排列。由于金红石对光的干涉作用,在成品宝石表面常呈现一种五颜六色的光彩,即“丝绢光泽”。放大检查中可发现金红石分布不均匀,多呈团块状聚集,恰似一块块“补丁”,在补丁周围方解石等粒状微晶呈回旋状环绕分布。
(2)孟速红宝石内缺少丰富的金红石包体。在部分孟速红宝石中可见到一种白色微粒状固态包体,它们聚集成丝状、云雾状分布。
(3)泰国红宝石几乎缺失金红石包体,其含有丰富的水铝矿包体。泰国红宝石中的水铝矿多呈灰白色、细长的针状、管状沿聚片双晶出溶,有时可见不同方向的三组水铝矿近直角相交形成建筑鹰架状图案。部分管状水铝矿边缘具典型的“须”边状结构,“须”边由细小的张裂隙组成。
(4)斯里兰卡红宝石中的金红石相对于缅甸红宝石来说显得细长,呈丝状,相对稀疏且分布均匀。
(5)坦桑尼亚红宝石中的金红石表现为两种形态,即细长的针状及细小的点状。因缺铁,金红石常呈无色。金红石小点常聚集成云雾状。


图1 三个方向的金红石定向排列,呈五颜六色的光彩 图2 金红石丰富,针体细小


图3 金红石细长,稀疏 图4 金红石稀疏,呈丝状,同时含大量絮状水铝石包体


图5 细小点状固体聚集成絮状和云雾状 图6 细长丝状金红石定向排列
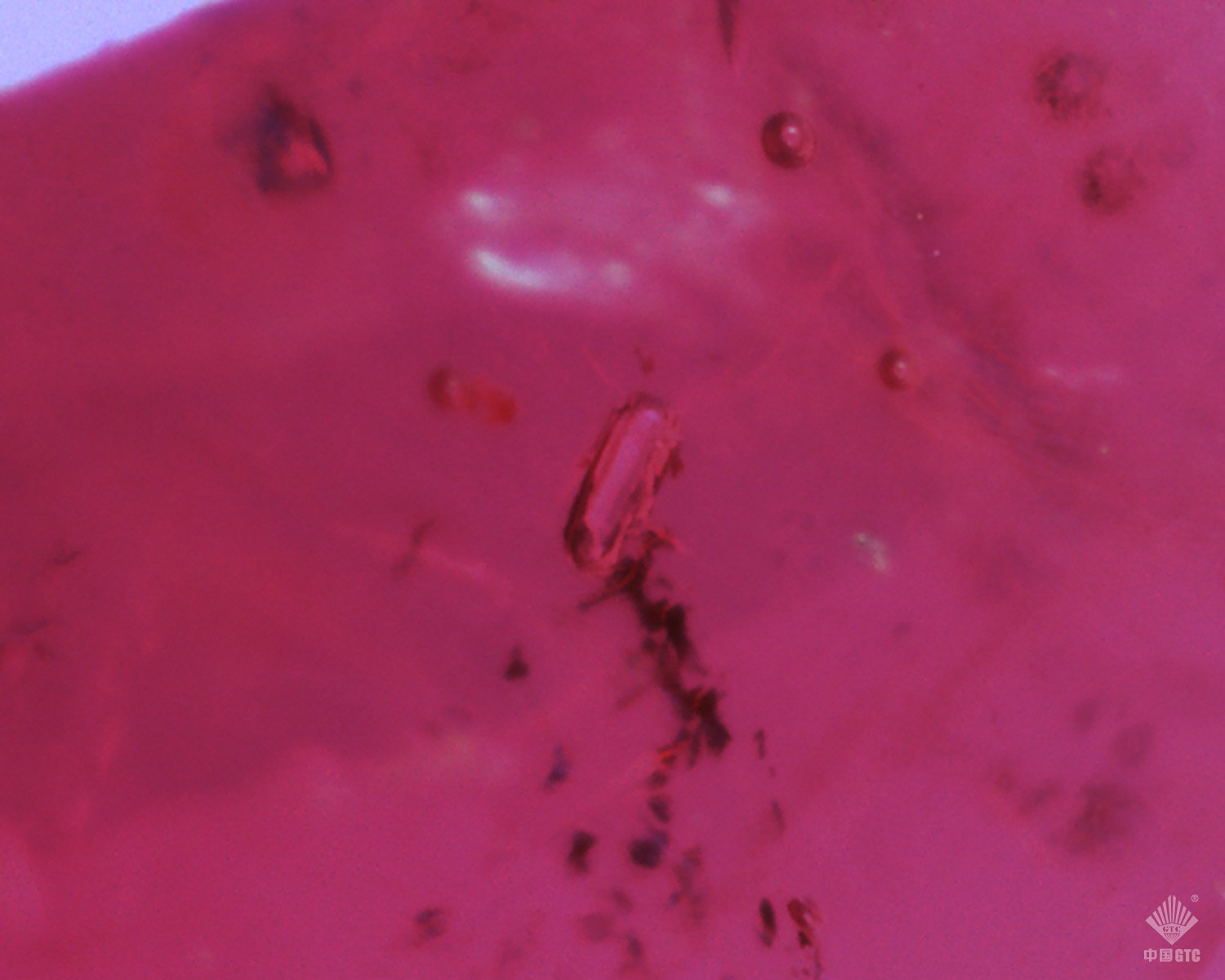
2.其他固态包体(如图7~12)
(1)缅甸红宝石还常见方解石、尖晶石、榍石、磁铁矿、橄榄石、锆石等包体。其中方解石、白云石多呈无色透明的菱面体状或不透明的乳白色团块状;尖晶石呈低突起浑圆状或八面体形;榍石多为黄色板状、柱状;磁铁矿多呈褐至黑色的圆粒状;橄榄石则呈黄绿色柱状;磷灰石多呈无色至浅黄色,边缘呈明显被熔蚀的浑圆状;金云母则呈不透明的深棕红色片状。
(2)孟速红宝石仅能见少量呈浑圆粒状的白云石、尖晶石、金红石、萤石等包体。
(3)泰国红宝石还常见他形粒状至半自形的无色透明的斜长石包体,微黄色、具六边形断面的磷灰石包体,暗红棕色浑圆状的铁铝榴石包体,黑色六边形粒状磁黄铁矿包体。
(4)越南红宝石含较丰富的固态包体,有磷灰石、方解石、云母、三水铝石、磁黄铁矿、金红石等,较特征的是三水铝石。
(5)坦桑尼亚红宝石固态包体有金红石、磷灰石、水铝矿、锆石等。水铝矿多沿聚片双晶出溶,呈细管状平行排列,管边有细长的须状裂隙;磷灰石非常常见,多为微黄色,大小差异明显,有半自形柱状、浑圆状、小片状甚至破碎状。
(6)中国红宝石矿物包体一般有短针状金红石、磷灰石、方解石、锆石、黄铁矿、磁黄铁矿等。锆石包体呈自形晶短柱状,可见完整四方柱及四方双锥聚形晶,也有不规则粒状单晶分布或成群分布;尖晶石呈八面体及三角形成群分布;方解石多沿裂隙分布,多呈不规则粒状,有的充填到红宝石晶洞中;磷灰石及次生赤铁矿包体也十分常见。


图7 短柱状固体包体 图8 短柱状固体包体,具六边形断面


图9 八面体尖晶石和浑圆状固体包体 图10 不透明乳白色团块状包体


图11 四方柱与四方双锥聚形晶 图12 固体包体周围一圈应力纹,整体呈“煎蛋状”
(二)流体包体(如图13~14)
某些产地的红宝石含有丰富的流体包体,形成特殊的图案,可作为其产地鉴定的依据。
(1)与缅甸红宝石相比,泰国红宝石含有丰富的流体包体,流体包体多聚集成指纹状、羽状、圆盘状。圆盘状流体包体中央往往分布着已被熔蚀的磷灰石、石榴石或磁黄铁矿晶体,晶体周围为呈盘状展开的流体,形成一种典型的“煎蛋”状图案。这一图案构成了泰国红宝石的产地特征。
(2)斯里兰卡红宝石具有丰富的流体包体,流体包体表现出大致相同的定向性,集合体呈清晰的指纹状、梳状、网状,细长的金红石纤维常与管状流体包体相伴而生,斯里兰卡红宝石中流体包体“含量的丰富、图案的精美”构成了其产地特征。
(3)中国红宝石中常见气液包体,呈密集指纹状、羽状、流体状。


图13 指纹状气液包体 图14 气液两相包体
(三)双晶
红宝石的生长双晶只在特定的产地可见,绝大多数红宝石的双晶是由于面网滑动、晶格变形造成的简单接触双晶或聚片双晶。(如图15~16)
红宝石的生长双晶只在特定的产地可见,绝大多数红宝石的双晶是由于面网滑动、晶格变形造成的简单接触双晶或聚片双晶。(如图15~16)


图15 聚片双晶发育 图16 聚片双晶发育
(四)负晶
缅甸红宝石负晶比较发育,个体粗大的负晶分散或成串出现,其内常被液体或气液二相流体充填,部分为空晶。斯里兰卡红宝石中可见完整的负晶。负晶呈六方双锥状、扁平的六方柱状,其内常被气液包体充填。坦桑尼亚负晶发育,多为空晶。
(五)次生裂隙
越南红宝石、坦桑尼亚红宝石、某些缅甸红宝石通常愈合裂隙发育,裂隙内被黄色、棕色的铁质充填或浸染。
二、充填处理红宝石的内部特征(如图17~20)
1. 注胶处理的红宝石其裂隙处的光泽不同,胶的光泽低于刚玉主体的光泽,裂隙较大时,针尖触之,胶可被划动。
2. 玻璃充填的刚玉宝石往往裂隙十分发育,用表面反射光观察裂隙内玻璃的光泽明显低于刚玉主体光泽,大的裂隙处充填玻璃表面往往凹陷。充填过程往往会在裂隙或孔洞中留有气泡。
3.存在大量气泡和小空隙。在所有的观察方向上,充填裂隙的可见度非常低,但在充填的裂隙上会呈现弱到中等程度的蓝-紫-橙红色闪光。所有充填孔洞表面抛光均较差。


图17 “补丁”状裂隙充填物,光泽不同于红宝石 图18 充填物内可包含有气泡


图19 充填红宝石内的蓝色闪光 图20 充填红宝石内的蓝色闪光
注:本文图片均来源于中国GTC科研开发部。
关键词:
相关文章:
“3.15”共促消费公平丨GTC惠民福利来啦
蓝港实验室——GTC全新升级国际化珠宝实验室

